วันพุธที่ 5 มีนาคม พ.ศ. 2568

การวิจัยทางวิทยาศาสตร์ที่ก้าวล้ำแสดงให้เห็นว่า “การอดอาหาร” มีผลกระทบอย่างมากต่อการทำงานของสมอง 🧠

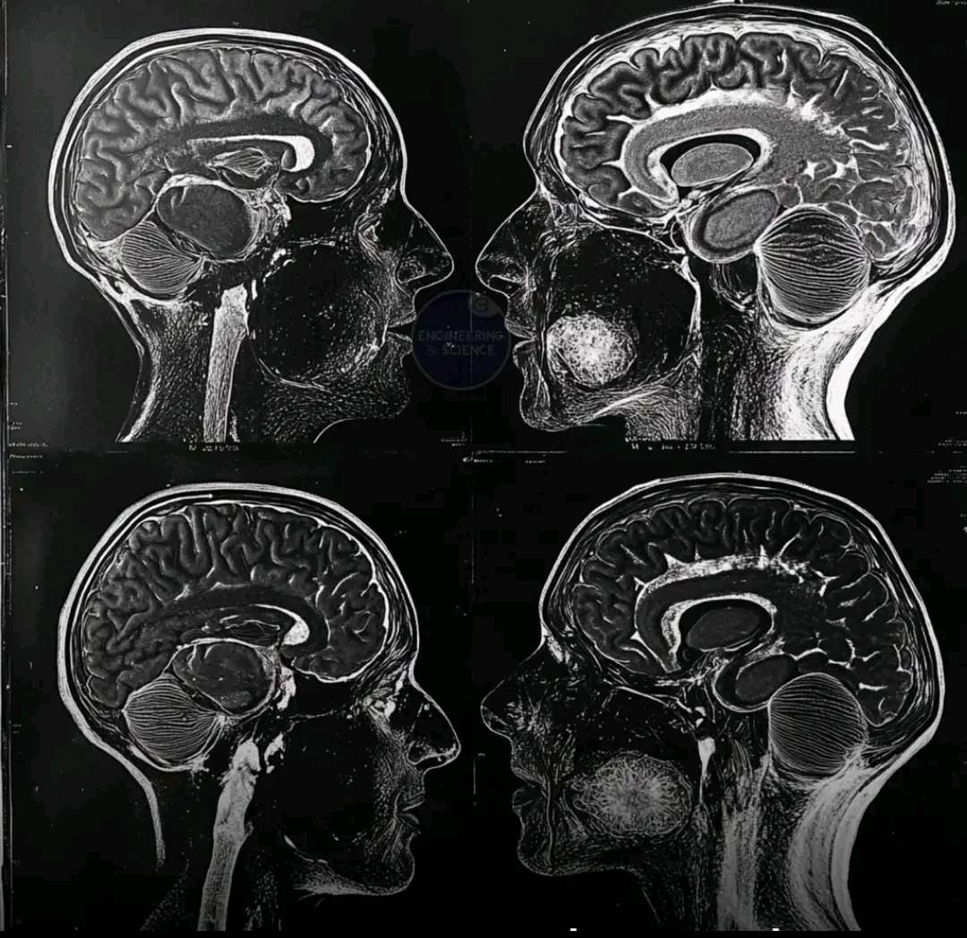
🍱 การวิจัยทางวิทยาศาสตร์ที่ก้าวล้ำแสดงให้เห็นว่า “การอดอาหาร” มีผลกระทบอย่างมากต่อการทำงานของสมอง 🧠 
ตามที่เปิดเผยโดยเทคโนโลยีสแกนสมองขั้นสูง ผลการศึกษาชี้ให้เห็นว่าการอดอาหารสามารถเพิ่มความยืดหยุ่นของระบบประสาท สมรรถภาพทางการรับรู้ และความกระจ่างแจ้งของจิตใจ ซึ่งอาจช่วยลดความเสี่ยงของโรคทางระบบประสาท เช่น อัลไซเมอร์และพาร์กินสัน ด้วยการเปลี่ยนแปลงวิถีประสาทและส่งเสริมการสร้างเซลล์ใหม่ การอดอาหารอาจเป็นปัจจัยสำคัญต่อสุขภาพสมอง ความอายุยืนยาว และความยืดหยุ่นทางการรับรู้ เนื่องจากความสนใจในการแฮ็กทางชีวภาพ วิทยาศาสตร์การมีอายุยืนยาว และสุขภาพด้านเมตาบอลิซึมเพิ่มมากขึ้น การอดอาหารจึงกลายเป็นวิธีการที่ได้รับการสนับสนุนทางวิทยาศาสตร์ในการเพิ่มประสิทธิภาพการทำงานของจิตใจและความเป็นอยู่โดยรวม

Cr.Engineering and science. 
ทันโลก

ไม่มีความคิดเห็น:

แสดงความคิดเห็น

🚀 เมื่อ AI พบกับอวกาศ… และ NVIDIA มอบ “ซูเปอร์คอมพิวเตอร์ขนาดพกพา” ให้ Elon Musk ด้วยตัวเอง!

🚀 เมื่อ AI พบกับอวกาศ… และ NVIDIA มอบ “ซูเปอร์คอมพิวเตอร์ขนาดพกพา” ให้ Elon Musk ด้วยตัวเอง! ภาพนี้โคตรเหนือจริง — Jensen Huang...